stomatolog pitesti
Adresa: Strada Fratii Golesti, Bl.S10, Sc. A, Ap 2
Pirlanescu Andrei: 0727.871.020, 0745.078.407
Pirlanescu Gherghita: 0745676002
Pirlanescu Andrea: 0726356311
servicii cabinet stomatologie pitesti
 

Odontologia

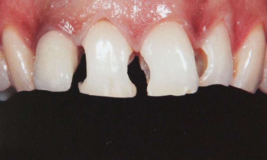
Se ocupa cu tratarea leziunilor carioase ale dintilor precum si a celor necarioase care pot fi fracturi, distrofii sau leziuni de uzura dentara.
In fazele initiale caria dentara nu poate fi observata decat de medicul dentist, atunci cand caria este sesizata de pacient, leziunile sunt deja avansate. La inceput caria se manifesta ca o coloratie maronie la nivelul dintelui, ulterior apare o cavitate care continua sa se mareasca.

Cabinet stomatologic Pitesti Stomatolog Pitesti Cabinet stomatologic din Pitesti Cabinet stomatologic Pitesti Stomatolog din Pitesti Cabinet stomatologic Stomatologie Pitesti Dentist Pitesti
 
Tratamentul cariei urmareste:  - indepartarea tesuturilor dentare afectate
  - protectia tesuturilor sanatoase
  - recostructia dintelui (plomba) cu ajutorul unor materiale care asigura in egala masura rezistenta,
  functionalitatea si estetica.

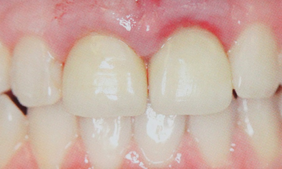
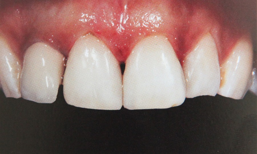
Tehnicile adezive directe de lucru cu materiale bazate pe rasini composite reprezinta o modalitate excelenta de restaurare estetica si minim invaziva a dintilor frontali. Obtinerea rezultatelor estetice asteptate este legata indesolubil de alegerea si utilizarea corecta, conform indicatiilor, a materialelor si tehnicilor de lucru adecvate, fiecarei situatii clinice.



Endodontia

Specialitatea care se ocupa cu tratamentul canalelor radiculare reprezentand baza stomatologiei, deoarece durata de viata a dintelui depinde in primul rand de corectitudinea acestui tratament. Tratamentul de canal consta in indepartarea tesuturilor pulpare din canalele radiculare urmat apoi de curatarea largirea si obturarea lor.

Strategia acestor tratamente va fi deci de a evita sau de a elimina inflamatia tesuturilor periapicale care este provocata de fenomene microbiene si imunologice asociate a caror origine se gasesc in patologia endodontica. Obturatia de canal reprezinta ultima etapa a tratamentului si consta in sigilarea radacinilor cu materiale speciale. Durata tratamentului depinde de starea anterioara a nervului (inflamatii, infectii) dar si de dificultatea interventiei.

 


Protetica

Presupune refacerea structurii dintelui utilizand lucrari protetice atunci cand caria dentara a afectat dintele intr-o masura prea mare pentru a putea fi remediat prin intermediul unei plombe. Daca dintele nu mai poate fi salvat si este extras spatiul lipsa poate fi completat fie printr-o lucrare protetica fie cu ajutorul unui implant. Daca pacientul pierde un numar mai mare de dinti se confectioneaza o proteza dentara.

 
 

Pentu ca folosim materiale de cea mai buna calitate pentru ca avem o colaborare stransa cu tehnicienii dentari si pentru ca acordam o atentie deosebita dorintelor pacientilor obtinem lucrari protetice care exceleaza prin estetica si functionalitate. Protetica inseamna refacere dentara prin lucrari protetice diverse.                                                              

Aceste lucrari pot fi:  - lucrari metalo- ceramice
  - ceramica pe zirconiu
  - ceramica integrala
  - proteze mobile si mobilizabile
  - proteze scheletate cu sisteme speciale
  - lucrari pe implante



Parodontologie

Ca stiinta de baza a stomatologiei a cunoscut remarcabile progrese in domeniul etiopatogeniei profilaxiei si tratamentului. Considerata multa vreme ca o boala cu evolutie incerta si un prognostic incert, boala parodontala poate fi astazi controlata prin proceduri terapeutice complexe si eficiente in care rolul tratamentului antimicrobian este predominant. Boala parodontala e necesar sa fie privita ca un proces patologic complex care trebuie abordat numai printr-un “pachet” de masuri terapeutice medicamentoase, chirurgicale locale si generale.

Afectinile gingivale sunt cea mai importanta cauza a pierderii dintilor la populatia adulta. Cu o ingrijire adecvata, periaj regulat, folosirea atei dentare, vizite periodice pentru detartraj si periaj profesional pot ajuta la evitarea bolilor parodontale. Bolile parodontale sunt cauzate de bacterii sub forma de placa microbiana sau tartru. Cu totate ca placa microbiana este principala cauza a bolii exista si alti factori care o favorizeaza ca: fumatul, utilizarea contraceptivelor, punti neadaptate, obturatii dentare vechi, anumite boli sistemice, anumite tipuri de steroizi sau alte medicamente. In stadii  incipiente afectiunea poarta numele de gingivita si poate fi prevenita tratata si vindecata. Netratata insa poata duce la boli dentare care afecteaza tesutul gingival si in final duce la pierderea dintilor

 


Implantologie

Este stiinta care se ocupa cu diagnosticul, inserarea, restaurarea si utilizarea structurilor orale, aloplastice sau autogene pentru refacerea structurilor morfofunctionale ale aparatului dento-maxilar.

Protetica pe implante este ramura implantologiei care se ocupa de faza restaurativa si componentelor planului general de tratament dupa inserarea implantelor.

Implantele dentare reprezinta la ora actuala singura posibilitate de a inlocui dintii lipsa prin protezare fixa rezultand o dentitie foarte apropiata de dintii naturali. Implantele dentare sunt niste radacini artificiale realizate din titan care se insera in os. Dupa o perioada de aproximativ 6 luni perioada necesara pentru integrarea implantului, acestuia i se ataseaza un bont protetic pe care ulterior se fixeaza coronita de ceramica sau proteza.

 
 

Implantele sunt recomandate pentru pacientii de toate varstele carora le lipsesc dintii. Oricine este suficient de sanatos pentru o mica interventie chirurgicala in cavitatea bucala poate apela la tratament prin implant.



Ortodontie

Se ocupa cu indreptarea pozitiei dintilor si a rapoartelor dintre acestia dar si a rapoartelor dintre oasele maxilare. Este foarte important sa se corecteze pozitia dintilor nu numai din motive estetice ci si functionale. Dintii inghesuiti nu pot fi igenizati corect si in timp se cariaza sau apar probleme parodontale. Rapoartele incorecte intre cele doua arcade provoaca tulburari care se manifesta prin oboseala musculara si dureri la mestecat.

 
 

Tratamentul  ortodontic poate fi realizat la orice varsta, dar este mult mai eficient la copii si adolescenti in perioada de crestere de aceea este recomandat un cosult de specialitate in jurul varstei de 10-12 ani. Insa si adultii pot beneficia de tratament ortodontic. In functie de tipul anomaliei prezente si de varsta pacientului tratamentul ortodontic poate varia de la cateva luni la cativa ani.

Exista  2 tipuri de aparate: mobile si fixe

Aparatele mobile sunt indicate la copii avand dezavantajul ca succesul tratamentului depinde de vointa copilului de a purta aparatul.

Aparatele fixe sunt alcatuite din bracheti aplicate pe fiecare dinte si o succesiune de arcuri ce asigura alinierea dintilor. Aceste bracheti pot fi metalici sau ceramici alternative pentru cei care nu vor ca aparatele sa fie vizibile.

Fiecare aparat ortodontic necesita sedinte la un anumit interval de timp stabilite de medic pentru urmarirea tratamentului si activarea aparatului.

 

Toate drepturile rezervate www.cabinetstomatologicpitesti.ro